Догляд за тваринами
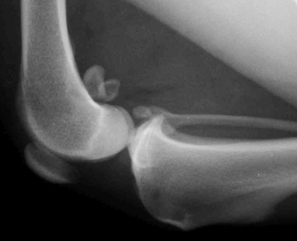
У статті я розповім про таке захворювання, як артрит у собак. Перерахую причини розвитку цієї недуги.
Папильон або папійон походить від французького слова «метелик», оскільки великі пухнасті вушка собачки
У статті я розповім про захворювання рахіт у собак, її симптоми та причини. Опишу як проводиться діагностика
У статті я розгляну види такс. Розповім, навіщо виводили породу, опис собак. Перерахую риси характеру
У статті я розповім про інсульті у собак, його причини, ознаки і симптоми наближення і першої допомоги
У статті я розповім про чумке у собак. Перерахую причини розвитку захворювання, зазначу, які тварини
У статті я розповім про глухоту у собак. Опишу симптоми захворювання, види та причини глухоти.
У цій статті я розповім про кращих породах собак-поводирів. В кількох словах я опишу їх відмінні особливості
У статті я розповім про саркоптоз у собак. Перерахую шляхи передачі хвороби, зазначу, хто знаходиться
У статті я розповім про те, як правильно робити масаж ніг собаці. Поясню навіщо масажувати псу лапи
У статті я розповім про те, чому собака може кульгати на передню лапу, навіть якщо видимих пошкоджень немає.
