(КОНКРЕТНО ПО ЦИТОГРАФИИ НЕМАЄ ВІДЕО)
Багато батьків побоюються цистографії та урографії. Обидва методу діагностики є дуже точними. Проте лікарі вдаються до цистографії вкрай рідко, оскільки дослідження викликає хворобливі відчуття і страх у маленьких пацієнтів. Ця боязнь може призвести до неправильного сприйняття малюком всіх лікарів.
Що таке цистографія? Як проводиться процедура у дітей до року? Потрібна цистографія дитині в рік? Які ускладнення можуть виникнути після діагностики?

Загальна інформація про цистографії та урографії
Цистографія — це метод дослідження в урологічній практиці, що дозволяє візуалізувати сечовий міхур. Урографія — діагностичне захід, спрямований на обстеження нирок. Обидва методу проводяться із застосуванням рентгенконтрастної речовини. Оцінка стану сечового міхура і нирок у дітей робиться на основі відмінностей між знімками, зробленими до і після введення контрасту. Необхідність використання рентгенконтрастної речовини обумовлена тим, що воно забарвлює уражені місця нирок і сечового міхура в яскраві кольори, які помітно виділяються на знімку.
Цистографія є досить неприємним і болючим способом діагностики, тому її призначають в крайніх випадках. Перед цією процедурою маленькому пацієнтові краще пройти інше, альтернативне, але безболісне дослідження, наприклад, УЗД. Лікарі зазвичай направляють на уро – або цистографію тільки в тому випадку, коли не можуть поставити діагноз на основі іншого діагностичного методу через його неточності.
Цистографія дітей, особливо немовлят, вимагає особливої підготовки. Батькам слід уточнити правила проведення та підготовки за кілька днів до процедури. Якщо дитина вже в свідомому віці, мама повинна в доступній формі підготувати його до того, що процедура викликає хворобливі відчуття, і довести дитині всю важливість проведення діагностики. У разі гострої необхідності пацієнту можуть зробити наркоз. Тривалість уро – або цистографії становить 30-60 хвилин. Всі нюанси проведення процедури можна подивитися на відео в кінці статті.
Види досліджень
Діагностика стану сечового міхура проводиться трьома основними способами в залежності від того, яким чином вводиться контрастна речовина. Мова йде про таких різновидах цистографії:
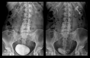
- Висхідній. У цьому випадку рентгенконтрастное речовина вводиться дитині в сечовий міхур через катетер. Щоб полегшити больові відчуття під час процедури, що застосовуються спеціальні гелі, які надають знеболюючу дію. Прикладом такого засобу є гель Катеджель. Лікар робить знімки перед і після заповнення органу контрастним речовиною. Виділені елементи на фото дозволяють фахівцю визначити локалізацію патології та ступінь ураження органу.
- Низхідній. Проведення процедури передбачає внутрішньовенне введення рентгенконтрастної препарату. Як тільки речовина потрапляє в організм через відень, воно починає всмоктуватися в нирки. В процесі пересування по нирках рідина потрапляє в порожнину сечового міхура, де починає фарбувати тканини і уражені місця. У цей момент робиться знімок. Незважаючи на те, що даний діагностичний метод менш хворобливий, він набагато рідше використовується в урологічній практиці.
- Микционной. Цистографія микционная кардинально відрізняється від двох перерахованих вище методів дослідження стану нирок і сечового міхура. Її призначають у разі проблем із сечовипусканням у пацієнта. Введення катетера здійснюється перед початком процедури. Знімки робляться в той момент, коли дитина починає писати. Микционная діагностика дозволяє як можна швидше і точніше виявити патологію.
Урографія, як метод діагностики стану нирок, також має 3 основні різновиди. До їх числа відносяться:
- внутрішньовенна або спадна, яка проводиться за допомогою введення контрастної речовини в кров;
- ретроградна, або висхідна, при якій рідина вводиться безпосередньо в сечовід через катетер;
- антеградна, або черезшкірна, для проведення якої контраст вводиться в шкірні покриви.
Переваги та недоліки цих способів діагностики
Діагностика нирок і сечового міхура за допомогою уро – та цистографії має свої сильні і слабкі сторони. Безумовно, основним плюсом даних способів є висока точність. На відміну від інших методів дослідження, цистографія дозволяє візуалізувати всі відхилення. До інших переваг можна віднести:
- Швидкий результат. По завершенню процедури лікар вивчає знімки і робить висновок. Як правило, запис ув’язнення не займає більше півгодини.
- Знижене променеве навантаження. Цистографія проводиться на сучасних апаратах з цифровим роздільною здатністю, завдяки чому знижується ризик небезпечного випромінювання.
Незважаючи на перераховані вище переваги даних методів дослідження, лікарі направляють дитину на цистографію тільки в крайніх випадках. Обидва діагностичних заходи мають ряд недоліків:
- болючість, яка може спровокувати страх;
- ризик виникнення алергічної реакції;
- висока ймовірність неприємних наслідків після введення катетера.
Показання до проведення цистографії та урографії
Багато батьків побоюються введення контрасту в сечовід, тому часто просять лікаря знайти якусь альтернативу цистографії. Дитячі профільні фахівці вдаються до цих діагностичних методів вкрай рідко, тому якщо уролог направив малюка на таку процедуру, без неї не обійтися. До числа основних показань до проведення дослідження відносяться:
- вроджені ураження органів сечостатевої системи;
- підозра на пухлину;
рефлюкс;- нетримання;
- утворення сольових конкрементів великих розмірів;
- регулярні рецидиви захворювань нирок і сечового міхура;
- розвиток туберкульозу нирок.
Цистографія у дітей до року проводиться в крайніх випадках, коли без неї не можна обійтися. Мова йде про підозру на вроджені дефекти будови нирок або сечового міхура.
Протипоказання для обстеження
Зважаючи на те, що обстеження може спровокувати ускладнення, а також проводиться із застосуванням рентгенконтрастної речовини, воно має ряд протипоказань. До їх числа відносяться:
- гострий запальний процес в нирках, сечовому міхурі та статевих органах;
- присутність крові в урині;
- гломерулонефрит та тиреотоксикоз (тільки при низхідної цистографії).
Оскільки контрастне речовина здатна викликати небажану реакцію у людей, схильних до алергії, його внутрішньовенне введення краще замінити висхідним способом. Алергеном найчастіше виступає йод, що входить до складу рідини.
Як підготувати дитину до процедури?
Дитині, якій належить цистографія, в першу чергу необхідна психологічна підготовка. Мама повинна довести малюкові всіма можливими способами, що процедура йому потрібна для того, щоб швидше одужати. Тиск і залякування з боку батьків у цьому разі вкрай недоречні.
Підготовка вимагає дотримання спеціальної дієти і постановки клізми в день проведення процедури. Щоб отримати точні результати, батькам слід виключити з раціону дитини наступні продукти харчування:
сприяють зайвому газообрзованию через 7 днів;- легке проносне для дітей з частими запорами через 14 днів;
- продукти, що викликають здуття через 2 дні.
Техніка виконання цистографії та урографії
Щоб діагностика пройшла в максимально короткий термін, батьки повинні правильно підготувати дитину. Крім того, що малюк не повинен боятися процедури, йому необхідно дуже швидко виконувати інструкції лікаря. Це потрібно для отримання точного результату дослідження. Діагностика проводиться в кілька етапів:
- Перший знімок. Його роблять до моменту потрапляння контрасту в організм пацієнта.
- Введення катетера та його заповнення контрастною рідиною. Її кількість визначається віком. Для пацієнтів молодше 12 років норма становить 50-100 мл, після зазначеного віку — 200-300 мл.
- Знімки в різних проекціях з контрастним речовиною. Чим більше положень буде приймати пацієнт, тим вище ймовірність розглянути приховану патологію.
- Зняття катетера. Після того, як він це зробить, він повинен ще раз зафіксувати порожній сечовий міхур.
- Аналіз отриманих даних. По закінченню процедури фахівець готує висновок.
Розшифровка результатів
Багато мам після здійснення обстеження відразу ж спрямовуються до лікаря для отримання розшифровки результатів. Завдяки контрастній речовині, який сприяє виділенню уражених місць на фото, лікар може розглянути наступні патології:
- зміна стану стінок сечового міхура;
- вроджені дефекти органів;
- наявність конкрементів та їх розміри;
- добро-, злоякісні пухлини;
- свищі.

рефлюкс;
сприяють зайвому газообрзованию через 7 днів;