Проблеми з ротовою порожниною зустрічаються у дітей будь-якого віку. Якщо у дитини розпухла і болить ясна, піднялася температура тіла, він вередує і відмовляється від їжі — швидше за все, це флюс. Запальний процес прогресує на тлі попадання інфекції і може призводити до небезпечних ускладнень. При виявленні характерної симптоматики потрібно негайно звернутися до стоматолога, не гаючи часу і не намагаючись боротися з недугою самостійно.

Що таке флюс, з яких причин він виникає у дітей?
Флюс, або періостит – це запальне захворювання, що супроводжується скупченням гною навколо кореня зуба (молочного або постійного), ущільнення м’яких тканин і появою набряку. При гострій формі захворювання у дитини спостерігаються інтенсивні болю та підвищення температури тіла, що пов’язано з активним запальним процесом.
Якщо флюс перейшов у хронічну форму, то основні симптоми йдуть – набряк спадає, зменшується болючість. Проте при уявній відступі захворювання продовжує розвиватися, охоплюючи сусідні тканини. Флюс у дітей може виникати з різних причин, але джерелом його завжди виступають патогенні мікроорганізми:
- нелікований чи погано пролікований карієс;
- механічні пошкодження зуба, ясен, слизової оболонки;
вірусні інфекції, захворювання горла (тонзиліт, ангіна);- зневага гігієною порожнини рота;
- запалення ясеневого кишені;
- фурункули.
Симптоми флюсу у дитини
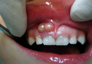
Періостит має яскраво виражену характерну симптоматику. Дитина скаржиться на біль, що підсилюється при натисненні або жуванні, і відмовляється від їжі. Флюс виглядає як шишка на десні, яка являє собою гнійний вогнище (див. на фото вище). В залежності від локалізації спостерігається набряк близько розташованих тканин – припухають щока, підборіддя, область під оком чи біля вуха.
Дитина стає примхливою, дратівливою і млявим. З рота з’являється неприємний запах, лімфовузли збільшуються. Якщо вчасно не вжити заходів, то температура тіла може підвищуватися до 38-39 градусів, а біль – посилюватися і віддавати в скроню, око або вухо.
Методи діагностики
Періостит має характерну симптоматику, тому складнощів з діагностикою зазвичай не викликає. Захворювання визначається в ході огляду дитини лікарем-стоматологом – флюс видають червона набрякла десна, біль при натисканні і появу кульки з гноєм. Іноді додатково призначаються лабораторні дослідження крові або рентген для визначення ступеня поширення інфекції та виявлення причини запального процесу.
Як вилікувати флюс у дітей різного віку?
Якщо флюс виник у дитини 3-5 років, коли зміна молочних зубів на постійні ще не відбулася, то зуб прагнуть зберегти, оскільки передчасне видалення перших зубів призводить до порушень прикусу. Періостит зазвичай лікують оперативним способом, розкриваючи абсцес і вичищаючи порожнину від гною.
Однак якщо захворювання приймає ускладнений перебіг, то уражений зуб видаляють. На звільнену область встановлюють тимчасовий протез у разі виникнення ризику того, що видалення вплине на розташування інших зубів. Після досягнення 6-річного віку починається зміна зубів, тому протезування не проводиться.
Після відвідин стоматолога лікування триває будинку. Призначаються медикаменти для прийому всередину і антисептичні засоби для місцевого застосування. Щоб полегшити стан дитини старше 3 років, можна використовувати настої і відвари трав.
Препарати для перорального прийому
Для терапії захворювання використовуються антибіотики, покликані зупинити розмноження патогенних мікроорганізмів, які є причиною флюсу. Їх застосовують при появі гнійних вогнищ, у випадках, якщо запальний процес зумовлений життєдіяльністю стрептококових або стафілококових бактерій, а також з метою запобігання ускладнень. Антибіотики призначаються і після проведеного оперативного втручання. Дозування і тривалість застосування визначаються лікарем. Середній курс терапії становить 5-7 днів (іноді більше), переривати його не рекомендується.
Серед медикаментів, що застосовуються у дітей, можна виділити Лінкоміцин. Він ефективний і володіє широким спектром дії, використовується з 1 місяця. Ампіокс показаний для малюків з народження до 3-х років препарат вводиться парентерально (минаючи шлунково-кишковий тракт).

З 3-річного віку може застосовуватися Бісептол, добре переносимий дитячим організмом і має мінімальну кількість побічних ефектів. Якщо ситуація ускладнюється підвищенням температури тіла, то використовуються жарознижуючі засоби на основі ібупрофену або парацетамолу — ці препарати також дають знеболюючий ефект.
Ліки місцевої дії
При флюсі застосовуються рідини для полоскання, що володіють антисептичною дією, які використовуються 3-4 рази на добу після їди та перед сном:
- водний розчин Хлоргексидину;
- Мірамістин — застосовується за досягнення 5-річного віку;
- Фурацилін, готовий розчин або приготований самостійно – 1 таблетка на 0,5 л води.
Народні рецепти
Вилікувати флюс у дитини без допомоги фахівця народними методами неможливо. Вдатися до них можна тільки до візиту до стоматолога в якості екстреної заходи. Для надання першої допомоги та полегшення стану в домашніх умовах можна скористатися наступними рекомендаціями:
Їх слід змішати в рівних пропорціях і залити окропом. Використовується у вигляді компресів.Полоскання порожнини рота содою або відварами лікарських трав, що володіють антисептичною дією, можна проводити і після проведення хірургічного втручання. При використанні саморобних розчинів їх потрібно готувати щодня. Якщо малюк ще не вміє правильно полоскати рот, концентрацію активних компонентів слід знизити, оскільки велика ймовірність проковтування рідини.
Хірургічне втручання
Якщо флюс супроводжується погіршенням стану та підвищенням температури тіла, то дитину слід негайно доставити у відділення щелепно-лицьової хірургії. В інших випадках оперативне лікування періоститу проводиться в стоматологічному кабінеті. Частіше використовується місцева анестезія, однак при необхідності застосовують і загальний наркоз.
Хірург робить надріз в області шишки і встановлює м’яку дренажну трубку, яка не дає краям рани злипатися, і дозволяє гною безперешкодно виходити до тих пір, поки запальний процес не припиниться. Якщо цього не зробити, то рідина продовжить накопичуватися в тканинах, що посилить запалення. Зазвичай дренаж залишається в десні близько 3-5 днів, після чого пристосування видаляють, а рана заживає природним шляхом.
Що заборонено робити при флюсі у дитини?
При появі у дитини характерних симптомів флюсу займатися самолікуванням і приймати будь-які препарати, в тому числі антибіотики без призначення лікаря не можна, оскільки це може призвести до ускладнень. При періоститі заборонено:
- розігрівання тканин в схильною флюсові області, полоскання гарячими розчинами – це призводить до поширення запального процесу і може викликати негативні наслідки;
давати дитині знеболюючі медикаменти мінімум за 3 години до прийому у стоматолога, оскільки вони ускладнюють діагностику;- самостійно розкривати абсцес або намагатися видавити гній – це сприяє поширенню інфекції.
Можливі ускладнення у дітей
Флюс у дітей при несвоєчасній терапії здатний викликати ряд небезпечних ускладнень, лікування яких здійснюється лише в умовах стаціонару. Щелепної остеомієліт являє собою гнійно-некротичний процес, що веде до руйнування кісток. Флегмона шиї або голови – це запальний недуга з непередбачуваним перебігом, що вражає м’які тканини. Гнійний періостит може викликати сепсис – важке захворювання, при якому інфекція потрапляє в кров і розноситься по всьому організму, вражаючи органи і тканини.
Ще одним наслідком запущеного флюсу є медіастиніт — стрімко розвивається небезпечна недуга, що вражає область між легкими, грудиною і хребтом. Тут знаходяться життєво важливі судини, нервові закінчення і лімфатичні вузли. Захворювання призводить до пригнічення дихання та кровообігу аж до летального результату.
Профілактичні заходи
Для недопущення розвитку флюсу необхідно дотримуватися наступних рекомендацій:
- регулярно проходити огляд у стоматолога для виявлення проблем, своєчасно лікувати і видаляти зуби;
- зміцнювати імунітет дитини – активними прогулянками на свіжому повітрі, загартовуванням, правильним харчуванням;
- полоскати рот водою після їжі;
- давати дитині жувати тверді овочі та фрукти — це допоможе зміцнити ясна;
- двічі на день проводити ретельну гігієну порожнини рота з використанням відповідних за віком зубної пасти та щітки.

вірусні інфекції, захворювання горла (тонзиліт, ангіна);
давати дитині знеболюючі медикаменти мінімум за 3 години до прийому у стоматолога, оскільки вони ускладнюють діагностику;