Із запамороченням (вертиго) стикався практично кожна людина. Багато хто не надають цьому значення, так як відчувають такий стан один або два рази в житті.
Насторожувати це починає, коли неприємні відчуття часто повторюються і супроводжуються іншими нездужаннями.
Визначити, чому закладає вуха і паморочиться голова, може тільки лікар. Він уважно проаналізує симптоми і проведе діагностику. Після встановлення причини буде призначено лікування. Своєчасне звернення до лікаря допоможе уникнути розвитку серйозних захворювань.
- 1.1.1 Вегетосудинна дистонія
- 1.1.2 Мігренозні прояви
- 1.1.3 Риніт
- 1.1.4 Підвищений тиск
- 1.1.5 Знижений тиск
- 1.1.6 Хвороби хребта, що викликають судинні патології
- 1.1.7 Злоякісні новоутворення в головному мозку
- 1.1.8 Побічна дія ліків
- 1.1.9 Вагітність
Причини стану
На прийомі у лікаря пацієнт описує, в який момент у нього закладає вуха і паморочиться голова, це допомагає встановити причини такого стану. Доктор обов’язково з’ясовує, нудить хворого під час запаморочення, не виникають інші незвичні відчуття.
Відчуття, коли паморочиться голова і закладає вуха, з’являються при різкій зміні положення тіла, перегрів, після нервового перезбудження, тривалої роботи за комп’ютером і виконання домашньої роботи.
Основні причини закладеності вух і запаморочення

Медики рекомендують пройти обстеження навіть тоді, коли при нормальному тиску паморочиться голова і закладає вуха. Це допоможе вчасно виявити патологію і приступити до лікування. Відзначають кілька основних причин такого стану:
Вегетосудинна дистонія
Захворювання супроводжується періодичними головними болями, різкими перепадами тиску. Біль концентрується в потиличній частині голови, а також у вухах і скроневої області. У пацієнта спостерігається підвищена тривожність, порушення сну, шум у вухах, погіршення зору.
Мігренозні прояви
Мігрень дуже просто відрізнити від інших захворювань, так як головний біль при ній тривала і супроводжується нудотою, блювотою.
Пацієнти скаржаться на відсутність апетиту, безсоння, запаморочення, порушення гостроти зору. Стан триває від кількох годин до кількох днів. Ефективного лікування мігрені досі немає, так як не до кінця вивчена природа захворювання.
Риніт
Звичайний нежить може стати причиною того, що паморочиться голова і тисне на вуха. Медики обов’язково призначають ліки, що знімають набряклість слизових оболонок носа, а також рекомендують судинозвужувальні краплі.
Вуха при цьому не можна залишати без уваги. Можна періодично закопувати в них борний спирт, який суттєво полегшить неприємні симптоми та допоможе уникнути таких хвороб вуха, як отит.
Це запалення середнього вуха, яке може виникнути при неправильному сякання, коли частки слизу з носа потрапляють в слуховий прохід.
Підвищений тиск
При артеріальній гіпертензії характерно звуження судин, що супроводжується закладеністю вух, головним болем і загальною слабкістю організму. Такий стан може виникнути при зміні положення тіла.
У пацієнтів старше 40 років запаморочення спостерігається частіше, ніж у більш молодому віці. Це говорить про розвиток гіпертонії, наслідком якої є інфаркти та інсульти.
Знижений тиск
Гіпотонія – захворювання, пов’язане з запамороченням безпосередньо. Недостатнє постачання киснем клітин головного мозку викликає сильну втому, бажання прийняти горизонтальне положення.
Пацієнти скаржаться на напади дратівливості, постійної сонливості і так далі. Впоратися з таким станом швидко дуже складно, тому хворі знаходяться на обліку у лікаря і проходять комплексне лікування.
Хвороби хребта, що викликають судинні патології
Порушення в роботі системи кровообігу часто стає наслідком хронічних хвороб хребта. Травми шийного відділу хребта приводять до здавлення судин і порушення кровопостачання мозку. Це викликає запаморочення, болі в голові.
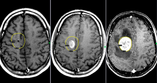
Злоякісні новоутворення в головному мозку
Причиною поганого самопочуття, закладеності вуха і запаморочення можуть виявитися пухлини мозку. Небезпека такого стану в тому, що пацієнти звертаються за лікарською допомогою при явних ознаках хвороби, а це вже не перша стадія захворювання, що ускладнює лікування.
Побічна дія ліків
Одна з найпоширеніших причин запаморочення – порушення правил прийому ліків, передозування. Це трапляється при самолікуванні. Лікування під контролем медиків – краще рішення проблеми.
Вагітність
Жінка зобов’язана під час вагітності думати не тільки про своє здоров’я, але і про малюка. Закладеність вуха і запаморочення повинні насторожити майбутню маму, змусити її пройти обстеження, так як ці симптоми говорять про судинних порушеннях.
Такий стан шкодить дитині. Не можна займатися самолікуванням, тому що багато заборонені препарати вагітним.
Аналізуючи скарги пацієнта, лікар швидко визначить, чому болить вухо і паморочиться голова. Він також підкаже, як вести себе в цьому стані, щоб уникнути травм або інших наслідків.
Що робити, якщо закладає вуха і крутиться голова
Стан, коли паморочиться голова і закладає вуха, може бути викликано сильним розгойдуванням на каруселі або перебуванням на висоті. Лікування в такій ситуації не потрібно, але потрібно знати, як правильно себе вести, щоб симптоми зникли. Для цього достатньо прийняти прості заходи:
- потрібно знайти опору і зупинитися;
- сфокусувати погляд на будь-якому предметі, не закриваючи очей;
- відновити дихання, чергуючи вдих через ніс з видихом через рот;
- знайти питну воду та випити трохи;
- при знаходженні в приміщенні, потрібно відкрити вікно;
- відвернути увагу від ситуації допомагає жувальна цукерка;
- при тривалому приступі краще випити ліки від заколисування.
Знаючи про патології, хворий повинен розуміти, що робити в домашніх умовах при запамороченні.
При повторних нападах людині легше визначити, коли паморочиться голова. Якщо пацієнту відомо про те, що його захитує у транспорті, то потрібно заздалегідь перед поїздкою приймати таблетку.
Викликано запаморочення може бути зневодненням організму в спеку. В цьому випадку достатньо попити води невеликими ковтками, і неприємні відчуття пройдуть. Необхідно стежити за самопочуттям, щоб попередити напад.
Діагностика
Під час першого нападу закладеності у вухах і запаморочення складно зрозуміти, чим це викликано. Щоб визначити можливі причини, слід звернутися до лікаря. Він перевірить стан судин, призначивши томографію, УЗД і рентгенологічне дослідження.
Для діагностики хронічних захворювань, що викликають запаморочення, буде призначено ряд лабораторних аналізів, а також консультація отоларинголога. Тільки отримавши усі результати обстеження, лікар зможе визначити причину патологічного стану і призначити лікування.
Лікування
Якщо запаморочення і закладеність у вухах спостерігаються при зміні погоди або різкій зміні положення тіла, то такий стан не вважається патологічним і лікування не потребує. А коли до цих симптомів приєднуються блювота з нудотою, слабкість, то необхідно звернення до лікаря.
Лікування запаморочення залежить від причини:
- протизапальні і антибактеріальні препарати застосовують при лікуванні отиту і лабиринтита;
- при судинних патологіях використовують нейропротекторы;
- напади при хворобі Меньєра купируют нейролептиками, антигістамінними препаратами і судинорозширювальними засобами;
- при виникненні вертиго через остеохондрозу показаний курс масажу, застосування міорелаксантів, ноотропних засобів;
- залізовмісні препарати призначають, коли паморочиться в голові через анемії;
- хірургічне втручання рекомендують при пухлинах мозку, стенозі судин.
Пацієнти після інсульту відчувають неприємні відчуття у вухах і голові регулярно. Але не варто думати, що такий стан нормальний.
Існують лікарські препарати, які потрібно вживати при слабкості і нудоті, якщо вони виникають часто у хворого. Призначає такі ліки тільки лікар. Дотримуючись рекомендації, пацієнт зможе вести повноцінне життя.
Профілактика
Лікування патологічних станів проводиться комплексно. При цьому хворому суворо забороняється алкоголь, нікотин і так далі.
Заняття спортом, щоденні прогулянки на свіжому повітрі, дотримання режиму сну і відпочинку, повноцінне харчування зміцнюють імунітет. Здоровий спосіб життя допомагає не тільки вилікувати захворювання, а й попередити його.
