
Неприємності на роботі, сімейні проблеми, стреси часто несприятливо впливають на здоров’я людини. З’являються характерні ознаки, що сигналізують про неблагополучний стан організму. Нищівні удари в основному бере на себе головний мозок.
Щоб точно оцінити стан, людині необхідно звернутися до лікаря і пройти детальне обстеження голови. Виникли підозрілі ознаки не можна залишати без уваги. Виявити причини хворобливого стану зможе медспециалист, що володіє досвідом роботи з високоточною медичною технікою.
Найбільш частою проблемою є неправильна циркуляція крові по судинах головного мозку. Розлад часто вираженою загальною слабкістю, болем у голові, порушенням когнітивних функцій.
Тривожні симптоми

Характерні ознаки хворобливого стану сигналізують про потреби пройти діагностику судин головного мозку та шиї.
Небезпечними сигналами, що вказують на необхідність обстежити мозок, є:
- хворобливі відчуття в області голови та шиї;
- непритомність і запаморочення;
- ослаблення пам’яті;
- порушення зору без явних причин;
- почуття тиску на голову;
- тремтіння рук.
Пацієнтам літнього віку необхідний постійний контроль та обстеження судин головного мозку та шиї. Тим, хто в силу перевантажень, як фізичних, так і емоційних, перебуває на грані виснаження, діагностику судин головного мозку потрібно пройти як можна швидше.
Ультрасонографія судин допоможе вчасно виявити захворювання і запобігти згубні наслідки для мозку. Медспециалист дасть необхідну інформацію, як перевірити судини головного мозку і шиї.
Обстеження головного мозку дозволить вивчити роботу судин і її вплив на інші органи. Порушення їх функціонування завдає серйозної шкоди загальному стану внутрішніх органів і систем організму.
Вчасно проведене обстеження мозку гарантує позитивну динаміку при лікуванні хворобливих станів, а також дозволить вчасно провести хірургічне втручання при необхідності.
Для з’ясування загальної картини розроблені всілякі способи, як перевірити судини головного мозку. Наукові розробки в області діагностики патологій мозку досить великі і пішли далеко вперед. Кожен дослідницький метод дає можливість повною мірою обстежити головний мозок.
Обов’язкова діагностика

Іноді виникає нагальна потреба обстежити судини голови та шиї:
- порушення в роботі артерій. Забиті холестерином судини призводять до глобальних наслідків, які часом важко зупинити;
- підвищений рівень цукру в крові. При цьому стані порушується робота органів людини, що призводить до відмирання судин, у важких випадках може виникнути гангрена;
- новоутворення в мозку. Необхідно відслідковувати динаміку розвитку пухлини. Якщо відбуваються негативні зміни, то потрібно своєчасно призначити медикаментозне лікування або провести оперативне втручання;
- гіпертонія. Судини, працюючи в авральному режимі, не справляються з навантаженням, їх неправильне функціонування порушує діяльність мозку. В результаті може виникнути інсульт;
- знижений артеріальний тиск. Через утрудненого руху крові по судинах мозкова тканина відчуває недолік необхідних поживних речовин;
- головні болі з нез’ясованої причини. Здавлювання судин голови та шиї призводить до порушення кровотоку;
патологія міжхребцевих дисків. Міжхребетні грижі або інші зміщення приводять до здавлення судин, не даючи їм нормально функціонувати; - вертебральні патології. Кровотік вертебральної та основної артерії сповільнюється і призводить до микроповреждениям мозку;
- майбутнє оперативне втручання на серці. При виконанні складних маніпуляцій на серцевому м’язі обов’язково обстежити судини головного мозку і шиї;
- травмування мозку і черепа. Пошкодження стають причиною деформації судин, появи гематом. Якщо вчасно не діагностувати пошкодження мозку, наслідки можуть бути аж до летального результату або отримання інвалідності;
- підозра на інсульт. Людина страждає від підвищеного тиску і спазмів судин. Стінки судин часто невыдерживают, і відбуваються крововиливи в мозок. Якщо є ризик апоплексії, то діагностика головного мозку це покаже.
Методи дослідження судин головного мозку

Поставити достовірний діагноз фахівець може з допомогою надчутливої медтехніки, що надає достовірні дані. Помилка лікаря може стати причиною неефективності медикаментозної терапії, дорогоцінний час згаяно.
Перед маніпуляціями досліджують кров. Це необхідно для виявлення патологій, що впливають на її згортання. Медспециалист за допомогою спеціальної апаратури обстежує головний мозок. Перевірити судини голови можна, не втручаючись в їх функціонування.
Саме точне і докладний обстеження у разі тяжких захворювань, ракових пухлин лікарі проводять за допомогою введення у кров хімічних речовин. Обладнання відстежує рух рідини по судинах, на моніторі можна побачити саму повну картину наявної патології.
Дослідження з допомогою високочастотних звукових хвиль
Обстеження головного мозку, як правило, виконуються з допомогою високочастотних сигналів. Методи дослідження головного мозку різноманітні і представлені наступними видами.
Ехоенцефалографія
Неправильне функціонування мозку і судин аналізують з допомогою спрямованих на тканини людини високочастотних звуків. Вимірювання проводиться осциллоскопом. Високочастотний звук передає відбиті сигнали, в результаті чого на екрані дисплея висвічується спеціальна схема-малюнок.
Дослідження дозволяє оцінити, наскільки вражені окремі ділянки мозку і як виявлені порушення впливають на діяльність організму в цілому. Щоб провести обстеження цим способом, підготовка не потрібна.
Вплив апарату на людину не супроводжується хворобливими відчуттями.
Ультразвукова доплерографія (УЗДГ)
Це новітня технологічна розробка вчених. Суть методу полягає в тому, що високочастотний звук проникає в тканини на глибину до 9 див. Медична апаратура аналізує гранично точно і знаходить патологію в найдрібніших судинах. Спеціально робити якісь приготування при цьому дослідженні не потрібно.
Апаратна установка визначає швидкість кровотоку шиї і голови. З допомогою доплера можна визначити наповнення судин кров’ю. Якщо виявлена патологія, то можна зрозуміти, наскільки вона серйозна. Цей прийом не передбачає втручання в роботу організму. З його допомогою можна зафіксувати, наскільки результативно проведене лікування судин.
Ультрасонографія (УСГ)

В ході обстеження вивчаються одночасно артерії голови і шиї. Використовується дана техніка для аналізу ступеня забруднення судин холестерином.
Апарат визначає наявність тромбів. Це дуже важливо, так як в будь-який момент відірвався тромб може призвести до летального результату.
Дуплексне сканування судин голови та шиї
Новітні розробки в медицині дозволили отримувати кольорове зображення організму зсередини. Вивчення окремих частин тіла дозволяє найбільш точно встановити причину неправильного руху крові по судинах. Це дослідження допомагає лікарям поставити правильний діагноз і призначити оптимальне лікування.
Нейросонографія (НСГ)

Такий метод дозволяє обстежити судинну систему немовлят до року. Дослідження голови роблять через джерельце, який ще не закритий. Застосовується при пологових травмах. Вивчається стан ликворопроводящей системи, параметри кровотоку. Спеціаліст дивиться, чи відповідає нормам розвиток мозку. Дослідження судин головного мозку має велике значення, так як вчасно виявлені дефекти дозволяють своєчасно провести терапію. Апаратура не викликає дискомфорт у дитини.
Реоенцефалографія (РЕГ)

Суть роботи спеціальної апаратури полягає в пропущенні через мозкові тканини електричного струму. Обстеження безболісне, пацієнт нічого не відчуває. Електричний струм високої частоти дає можливість провести дослідження головного мозку.
Метод допомагає з’ясувати, в якому місці уражені судини і наскільки глибоко, виявити новоутворення в голові, оцінити наслідки травмування мозкових тканин. Високочастотна техніка надає дані про наявність закупорки в судинах і крововиливі у мозок.
Електровимірювальні методи
Електроенцефалографія
Досліджує мозкову діяльність. Обстеження проводиться за допомогою приладу, який називається «електроенцефалограф». Електроімпульси дозволяють проаналізувати мозкову діяльність.
Для процедури на шкірі голови закріплюють електроди. Отримані дані приладу фіксуються на папері. Метод дозволяє оцінити стан нервових волокон і кровотік голови і шиї. Використовується для аналізу наслідків травм, діагностики розладів психіки, епілепсії. Перш ніж пройти обстеження, пацієнт повинен розпустити волосся, якщо вони довгі. Перед дослідженням не можна приймати препарати, що впливають на мозкову активність.
Електронейроміографія

Дослідження проводиться для аналізу роботи периферичної нервової системи і ґрунтується на биотоках м’язів.
Магнітно-резонансна томографія (МРТ)
Дослідження судин шиї і голови здійснюється шляхом дії радіохвиль на організм. Перед процедурою пацієнта поміщають в капсулу, в якій створюється магнітне поле. Діагностика розроблена на основі хвильової активності, яка виникає при впливі на внутрішні органи.
Високоточне дослідження дозволяє діагностувати пухлини, тромботичні бляшки, крововиливу в мозок, інші патології різного характеру. МРТ дає повну картину про будову судин, їх дефектах. Діагностика проводиться при підозрі на пухлини різного характеру. Вона необхідна для постановки правильного діагнозу і терапії.
Для проведення процедури є протипоказання. Не можна проходити обстеження людям з імплантованими електронними приладами.
Методи діагностики з допомогою рентгенівського опромінення
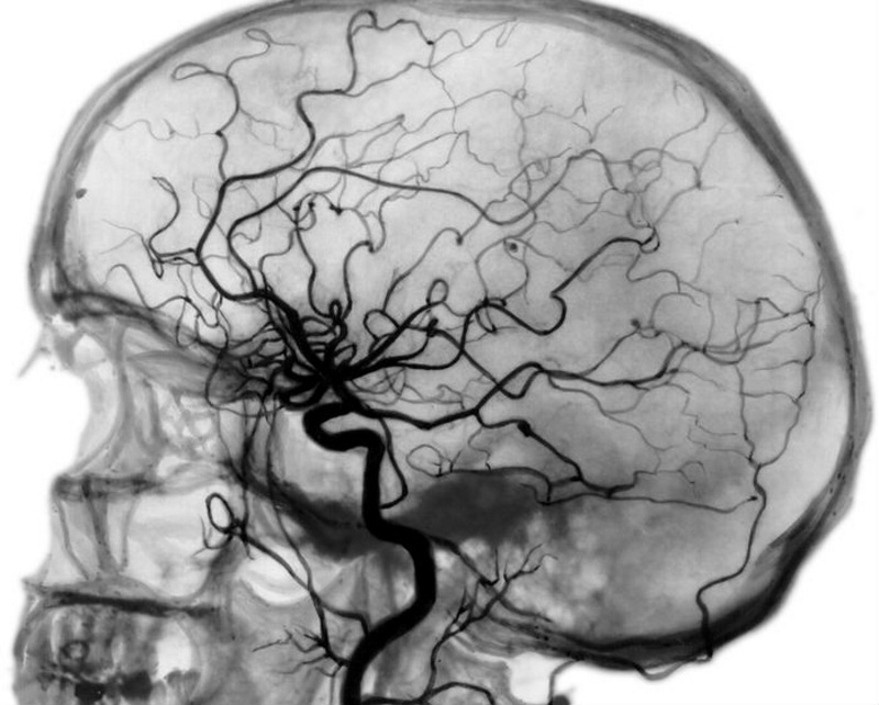
Комп’ютерна ангіографія (КА)
Маніпуляція супроводжується рентгенівським опроміненням. Хворому в артерію вводять хімічний препарат. Спеціальним приладом знімають зображення судини, вени або артерії зсередини. Цей метод забезпечує високу точність діагностики, дозволяє вивчити самі дрібні судини.
За допомогою ангіографа можна отримати зображення голови в горизонтальному зрізі. Використовується перед складними операціями, пов’язаними з нервовою системою.
Заборонено проходити обстеження при:
- хворобах нирок і печінки;
- підвищеної чутливості до йоду;
- патології крові;
- вагітності;
- годування груддю;
- психічних розладах.
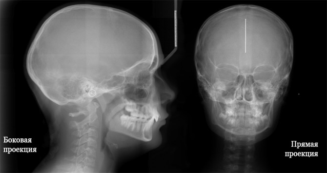
Краніографія

Аналіз стану кісток черепа проводиться у випадках його пошкодження за допомогою рентгенографії. Дослідження не викликає ніяких відчуттів. Доза отриманого опромінення при рентгенографії черепа незначна і підбирається індивідуально. Робляться знімки обстежуваного черепа в бічній і фронтальній проекції.
Методи дослідження судин голови досить різноманітні. Всі види маніпуляцій володіють конкретними особливостями і надають потрібний обсяг даних про стан організму. Перевірку судин головного мозку потрібно пройти як можна раніше. Оцінка стану головного мозку – це необхідна процедура, яка дуже важлива при постановці точного діагнозу.
