
Мікроскопічні руху в головному мозку, які відбуваються на нейронному рівні, позначаються на роботі і життєздатності всього організму. Протікають вони непомітно, а їх збій виявляється не відразу. В роботі нервової системи одним елементів відводиться центральна роль, іншим — допоміжна. Клітинам-провідників (або нейронів), відведена головна місія — вони передають інформацію в мозок і навпаки (від мозку до органів).
Інші елементи — клітини гліальної тканини (глії) беруть на себе функцію нейронів, коли нейрони гинуть. З-за великого скупчення гліальних клітин виникає відхилення у роботі мозку. Воно носить назву “гліоз головного мозку” і тягне за собою серйозні наслідки, якщо не спостерігатися у фахівців. Спробуємо доступною мовою пояснити, що це таке, по яким ознакам можна запідозрити захворювання, ніж перивентрикулярный гліоз відрізняється від інших видів патологічного скупчення глії, що таке кістозно-глиозные зміни головного мозку.
Крім того, розглянемо, якими методами лікарям вдається діагностувати порушення і види терапії, до яких вони вдаються.
Що таке гліоз

Розглянемо явище «під мікроскопом». Почнемо з того, що багато фахівців, що вивчають структуру нервової системи та її патології, впевнені, що гліоз мозку — не самостійна хвороба. Вона завжди викликана серйозними порушеннями, які виникли раніше.
З яких клітин побудована нервова система? У неї входять не тільки нейрони (нейроциты), але і інші елементи. Кожен з них має своє призначення, наприклад, нейроглія відповідає за метаболізм в інших клітинах і захищає нейрони.
Клітини глії вибудовують рубцеву тканину коли нейроциты масово атрофуються. «Заступники» деякий час виконують кілька функцій:
- виступають провідниками нервових імпульсів, подібно нейроцитам, але не замінюють їх повною мірою;
- беруть участь в обмінних процесах;
- оберігають від пошкоджень здорові клітини;
- беруть участь у побудові інших волокон.
Хоча процес такого заміщення порівнюють з регенерацією шкіри, ці елементи не здатні повноцінно відновити пошкоджене загибеллю нейроцитов будова мозку. Гліальні клітини не компенсують нервову провідність в повній мірі. Вони побудовані інакше і мають інше призначення.
Що таке гліоз головного мозку? Глиозные вогнища — це великі скупчення преобразовавшихся клітин. Через їх виникнення вся нервова система дає збій.
Види

Глиозные зміни головного мозку поділяють на види залежно від причини їх утворення та ділянки локалізації:
- Анизоморфный. До нього призводить розростання волокон глії без певного порядку. Хаотичний ріст клітин може розвиватися в будь-якій зоні мозку.
- Субэпендимальный вогнище. У цьому випадку нейроглии формуються під эпендимой (внутрішньою оболонкою) мозкових шлуночків. Кістозно-атрофічні зміни часто тісно пов’язані з цим явищем.
- Волокнистий. Характеризується переважанням волокон глії над клітинними елементами.
- Маргінальний. Розташований у подоболочечной зоні мозку.
- Дифузний. Це множинні вогнища гліоза головного мозку. Вони можуть поширюватися також і на спинний мозок.
- Изоморфный. У цій ситуації нейроглиальные волокна розташовані у правильній послідовності.
- Периваскулярний гліоз — розростання глії навколо судин, уражених атеросклерозом.
- Субкортикальні вогнища локалізуються безпосередньо під корою ГМ.
- Супратенториальный вогнище гліоза в одиничному вияві вважається нормальним явищем при старінні тіла людини. Він може бути також наслідком травми під час пологів, тому його іноді діагностують у новонароджених. Це легка і безпечна патологія, клінічні симптоми у неї відсутні.
Осередки гліоза в білій речовині можуть формуватися під впливом різних розладів — як легень, які не потребують медичного втручання, так і серйозних хронічних порушень роботи організму.
Причини

Ураження білої речовини головного мозку можуть спровокувати багато факторів. Багато в чому це залежить від способу життя пацієнта, екологічного середовища, у якій він мешкає, та активності його нервової системи. Але в першу чергу до таких «провокаторам» відносять:
Симптоми

Дуже часто поодинокі глиозные вогнища в головному мозку можуть ніяк не виявляти себе. Про них можна дізнатися на одному з планових оглядів. Якщо це ніяк не турбувало пацієнта, лікарі стверджують, що такі осередки не небезпечні для здоров’я.
Як правило, при цьому фахівець може призначити обстеження, щоб виявити першопричину цього явища.
Численні ж осередки гліоза в головному мозку неодмінно дадуть про себе знати у вигляді таких малоприємних ознак:
- головний біль, що носить регулярний характер. До таких неприємних відчуттів можуть призводити вогнища гліоза судинного генезу;
- постійні перепади кров’яного тиску;
- стан, коли пацієнт втрачає відчуття рівноваги;
- труднощі при виконанні розумових завдань;
- розлад мовної функції — надто повільна або швидка мова, «ковтання» звуків;
- погіршення слуху та/або зору, можлива тимчасова або постійна часткова втрата першої або другої здібності;
- психічні спотворення;
- погіршення пам’яті;
- запаморочення;
- рухові розлади;
- неуважність, перепади настрою.
Як бачите, симптоми дуже «загальні» і ранніх етапах буває досить складно встановити правильний діагноз.
Діагностика
Досвід передових фахівців в області неврології показує, що своєчасна діагностика патології допомагає запобігти розвитку необоротних процесів. Головне — вчасно виявити зміни.
Фахівець, у якого в ході прийому виникли підозри на гліоз, направляє пацієнта на всебічне обстеження головного мозку. У цей комплекс входять:
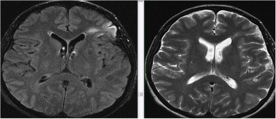
- магнітно-резонансна перевірка. Томографія може показати не тільки осередок гліоза в білій речовині головного мозку, але і можливі обставини, які спровокували дане явище.
- На знімках КТ (комп’ютерної томографії) можна простежити відхилення, які викликані збоєм функціонування судин або наявністю пухлин. Сканувати зміна в ділянці лобних часток дозволяє тільки цей метод дослідження. При множині варіанті гліоза технологія дозволяє знайти всі вогнища.
- Электроэнцефалограмма. Обстеження таким способом допомагає розпізнати збій мозкової активності. Великі скупчення нейроглии можуть провокувати виникнення епілептичних припадків. Енцефалограма передає інформацію про наявність судомної активності мозку.
Лікування

Лікування гліоза головного мозку можна умовно розділити на 3 важливих етапи:
- Превентивне. Якщо були виявлені нечисленні (поодинокі) скупчення глії, неважливо, в якій ділянці мозку, людський організм здатний до самостійного усунення подібних проблем. Наслідків від невеликих утворень не буде. Тим не менш, лікар може рекомендувати пацієнту, щоб він прийняв необхідні заходи — вів здоровий спосіб життя, регулярно займаючись легкими фізичними навантаженнями (зарядка, ходьба), відмовився від спиртного і куріння, а також від прийому наркотиків, вживав здорову їжу.
- Медикаментозна терапія. Лікар прописує хворому препарати, дія яких спрямована на відновлення активності мозку і врегулювання нервових імпульсів (ноотропи). Крім того, при необхідності застосовують ліки, які нормалізують роботу судин, зміцнюючи їх (вітаміни С, Р, Е). При підвищеному рівні холестерину призначають антиатеросклеротические засоби (статини, фібрати).
- Операції на головному мозку. Цей вид лікування застосовують лише в крайніх і запущених випадках. Так, наприклад, до хірургічного методу приходять, якщо пацієнт страждає від регулярних нападів епілепсії, судом. Видалення можливо тільки в тому випадку, якщо є поодинокі вогнища гліоза. Численні ж скупчення прибрати шляхом операції неможливо.
Крім того, пацієнтам з ожирінням і зайвою вагою лікарі радять схуднути і коригувати свій раціон.
Ми приблизно розкрили поняття “гліоз головного мозку” — що це таке і як його можна виявити. Володіючи цією інформацією, ви будете знати, коли і куди йти, щоб налагодити проблеми зі здоров’ям. Не забудьте відвідати лікаря і будьте здорові!
