Методів боротьби з висипаннями на обличчі дуже багато, як і причин. Ви можете ознайомитися з інформацією про гелі Метрогіл та інструкцією по його застосуванню від прищів. Також ви дізнаєтеся про інші способи використання даного препарату, і які є протипоказання до його застосування.
Що таке гель Метрогіл. Склад
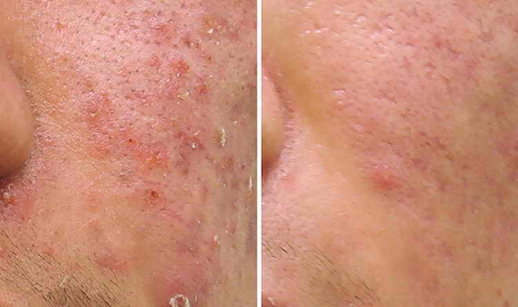
Красива шкіра без висипань і вугрів – мрія будь-якої дівчини. Однак, організм працює як злагоджений механізм, і як тільки відбувається невеликий збій в одній із систем, подається сигнал. Як правило, такими сигналами є больові відчуття, свербіж, почервоніння або висипання.

Шкіра – найбільший орган людського тіла. Середня площа шкірного покриву у дорослої людини становить 1,5-2 квадратних метри. Шкіра є першою лінією оборони організму на шляху зовнішніх шкідливих факторів і організмів.
Прищі та висипи – одні з найбільш неприємних симптомів для жінок. Відомо, що —видавлювання прищів і вугрів— вкрай небажано, і може бути небезпечним. Звичайно, можна використовувати різні —бовтанки від прищів—, або ж робити маски в домашніх умовах, але найважливіше – зрозуміти причину їх появи.

Останнім часом стало популярним використання Гелю Метрогіл для особи від прищів. Це синтетичний лікарський препарат у формі гелю, основним діючим компонентом якого є речовина метронідазол. В складі також присутні супутні компоненти, такі, як динатрію едетат, пропіленгліколь, карбомер 940, метилпарагідроксибензоат, натрію гідроксид, пропілпарагідроксибензоат, вода очищена.
Для чого застосовується, як діє на шкіру. Свідчення
Так як основний компонент гелю має виражені протимікробні та противотозойные властивості, Метрогіл гель або мазь) призначають:
- при різних висипах (в тому числі, підліткової вугрової висипки);
- гормональних висипи (в тому числі, викликаних прийомом оральних контрацептивів);
- труднозаживляемых ранах (виразках, пролежнях);
- себореї.

Також використання даного препарату поширене в гінекології, дерматології та стоматології. Іноді застосовують при лікуванні тріщин заднього проходу, для профілактики інфікування. Вважається, що Гель має незначну антиоксидантну активність.
Слід пам’ятати, що ефект від застосування не буде миттєвим. Для результату необхідно регулярне використання гелю як мінімум протягом двох-трьох тижнів. На додаток до мазі лікар також може призначити —таблетки— для комплексної терапії проти вугрової висипки.
Правила використання
Якщо висипання носять хронічний характер, необхідно звернутися до дерматолога. Займаючись самолікуванням можна собі нашкодити.
Відповідно до інструкції щодо застосування гелю Метрогіл від прищів, його слід наносити тонким шаром на попередньо очищену ділянку шкіри вранці і ввечері. Обробляти слід лише уражену ділянку шкіри. Після вбирання можна наносити тональні і маскуючі засоби.

Запобіжні заходи
Слід уникати нанесення в області очей, так як пари гелю можуть викликати слізливість. Попадання в очі може викликати сильне печіння, тому слід негайно промити очі великою кількістю проточної води.
Протипоказання і побічні ефекти
Не слід використовувати гель при підвищеній чутливості до будь-якого з компонентів. Також не рекомендується застосовувати вагітним у першому триместрі вагітності та під час лактації використання препарату заборонено. З обережністю до застосування препарату слід поставитися людям з печінковою недостатністю, захворюваннями шкіри або епілепсії.
Особливої несумісності з іншими медичними препаратами у Метрогила виявлено не було. Однак, перед використанням краще проконсультуватися з лікарем.

Побічні ефекти від застосування гелю спостерігаються досить рідко (близько 2%). Серед них: почервоніння, свербіж, почервоніння, місцеве підвищення температури, печіння. Можливе відстрочене прояв алергічної реакції.
Відгуки
Ольга
Користуюся маззю вже кілька тижнів, результат, звичайно, є, але, здається, далі ситуація не поліпшується і не змінюється.

Коментар фахівця: При рясних висипаннях перед початком лікування слід проконсультуватися з дерматологом. Можливо, буде необхідно здати аналізи на гормони. Тільки фахівець може підібрати правильне лікування.
Катя
Мені Метрогіл допоміг буквально за 4 тижні майже повністю позбавитися від прищів, чому я несказанно рада! А то цей квітник навіть зафарбувати нормально було не можна. Продовжую користуватися і сподіваюся, скоро забуду про них, як про страшний сон.

Коментар фахівця: Метрогіл добре справляється із запальними процесами, викликаними надмірною активністю сальних залоз.
Мар’яна
Мазь мені призначав дерматолог, пояснивши, що у мене «підшкірний кліщ» (не пам’ятаю, як по-науковому це називається). В цілому, результатом задоволена, але лікування поки ще продовжую (крім мазі, ще призначили таблетки).

Коментар фахівця: Ви дуже правильно зробили, що звернулися до фахівця. Дійсно, Метрогіл проявляє себе дуже ефективно в боротьбі з демодекозом. У вашому випадку до вирішення проблеми здійснюється комплексний підхід, що також дуже дієво.
Відео
Пропонуємо вам подивитися відео з загальною інформацією про вугрової висипки, її стадіях та фактори, які на неї впливають. Також ви дізнаєтеся про основні принципи боротьби з висипом на різних її стадіях.
Гель Метрогіл має досить велику кількість позитивних відгуків, як мазь від прищів. Цікаво дізнатися вашу думку. Користувалися? Допомогло? Або ви щасливий володар ідеальної шкіри без висипань? Діліться своїми відгуками і лайфхаками в коментарях.
