Багато батьків вважають, що чистити молочні зуби потрібно з 2 або 3 років. Таке твердження в корені невірно, дотримуватися гігієни ротової порожнини слід з самого народження.
Профілактика раннього карієсу – одна з найважливіших завдань батьків. Лікувати зубні хвороби у дітей вкрай складно. Малюки не можуть спокійно всидіти в стоматологічному кріслі тривалий час, а зубний біль завдає їм величезні страждання. Саме тому краще зберігати здоров’я зубів дитини з раннього віку.

Особливості пляшкового карієсу
Що таке пляшковий карієс? Так називається різновид захворювання у маленьких дітей у віковому діапазоні від півроку до 4 років. Така назва вказує на основну причину виникнення хвороби і не є медичним діагнозом. Так називають карієс унаслідок нічного або вечірнього вживання солодких продуктів з пляшечки.
Перші зуби мають недосконалу емаль, яка надзвичайно схильна до ураження мікроорганізмами. Воно розвивається дуже швидко. Від початкової стадії до запалення внутрішньої тканини зуба може пройти всього кілька тижнів.
В основному поразку зачіпає передні верхні різці, саме на них накопичуються залишки їжі, що провокують карієс. Кислоти, які виділяють бактерії, що призводять до порушення цілісності зубної емалі. Визначити пляшковий карієс можна за невеликим темними цятками, які потім переростають у каріозні порожнини.
Є й інші поширені в народі назви цього захворювання: кефірний, молочний, ясельний карієс. Всупереч позначенню провокаторами можуть виступати не тільки молочні продукти, але і соки, солодкі напої та навіть материнське молоко. Найчастіше порушення зубної емалі зустрічаються у дітей на штучному вигодовуванні. Педіатр Е. О. Комаровський вважає вживання сумішей основним джерелом пляшкового карієсу.
Причини виникнення і розвитку пляшкового карієсу у дітей
Головна причина пляшкового карієсу – годування дитини в нічний і вечірній час. В цей період бактерії, що руйнують зуби, знаходяться на піку активності, а слина практично не виділяється і не може їх знешкодити. Медики говорять про те, що вкрай шкідливо годувати малюка перед сном, як вдень, так і вночі.
Залишки їжі призводять до розмноження патогенних мікроорганізмів, які провокують захворювання. Під годуванням розуміється не тільки прийом їжі, але і пиття (крім чистої води).
Друга поширена причина – вживання в їжу солодощів, цукерок, шоколаду, печива, соків та ін. Виділяють і інші джерела ураження дитячої зубної емалі:
- Особливості слини. Недостатність її вироблення, надмірна в’язкість не дозволяють слині очищати зуби від забруднення.
- Зниження імунітету. Захисні сили дитячого організму не можуть повноцінно боротися зі шкідливими бактеріями в порожнині рота, в результаті карієс швидко розвивається.
- Захворювання. Наявність запалення в одному відділі організму може призвести до його поширення, зокрема на ротову порожнину.
- Недостатня гігієна. З появою першого зуба слід ретельно доглядати за ротовою порожниною дитини. Треба чистити зуби щодня, з 1 року використовувати зубну пасту і щітку.
- Спадковий фактор. Існує доведена взаємозв’язок стану здоров’я батьків та їх дітей. Якщо дорослі страждають карієсом, то малюки цього теж схильні. Виправити ситуацію допоможе суворе дотримання профілактичних заходів.
Часто патогенні бактерії переходять від дорослого до дитини. Не можна є однією ложкою, цілувати малюка, брати в рот його соску, якщо у батьків присутні відкриті каріозні порожнини в зубах (якщо ні, теж не рекомендується). Необхідно своєчасно лікувати зубні хвороби, щоб не заразити інших членів сім’ї.
Стадії розвитку захворювання
На першій стадії захворювання запідозрити пляшковий карієс у малюка важко. Для цього необхідно відвідати стоматолога. Профілактичний огляд здорової дитини здійснюється двічі в рік.
Загалом етапи розвитку захворювання порівнянні з дорослим карієсом:
- спочатку утворюються невеликі поглиблення на емалі зуба, вони виглядають як білі або жовтуваті плями;
- руйнування поширюється навколо шийки зуба;
- змінюється колір, каріозні ураження темніють;
- зуб починає реагувати болем на вживання гарячих, холодних, солодких, кислих продуктів;
- хвороба поширюється, біль присутній постійно, а зуб руйнується повністю.
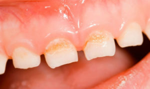
Найбільш схильні до карієсу верхні різці та ікла. Дитина грудного віку не може розповісти про свої відчуття, але він морщиться і плаче під час їжі. Він відмовляється їсти, погано спить, часто прокидається з криком. На цій стадії карієс вже досить помітний, тому уважний батько зверне увагу на почорніння зубів. На фото представлений ранній карієс.
Лікування раннього карієсу молочних зубів
Лікування краще проводити на початковій стадії пляшкового карієсу. Для цього потрібно регулярно оглядати ротову порожнину малюка і стежити за його станом. При підозрі на зубні захворювання слід терміново відвідати стоматолога, адже у дітей карієс розвивається стрімко.
Пористість емалі зуба вказує на першу стадію хвороби, коли ще можна обійтися без радикального лікування. Головне завдання лікаря – врятувати вражений зубик, уповільнити протягом пляшкового карієсу. Лікування зубів у дітей – складна процедура, іноді стоматологи вдаються до загального наркозу, тому як маленькі пацієнти не дають проводити жодних маніпуляцій.
Для постановки діагнозу лікар огляне ротову порожнину малюка з використанням спеціальних інструментів. При необхідності проводиться рентгенографічне дослідження. Для уточнення розташування каріозних порожнин на зуби наноситься особливий гель, який змінює колір залежно від ураження зубної емалі. Він безпечний для дитини і легко змивається.
Без участі фахівця вилікувати горло порушення емалі зуба не можна. Ніякі народні методи і тим більше самолікування не здатне замінити відвідування стоматолога. Запущені випадки лікуються набагато складніше, вони призводять до неприємних наслідків у вигляді видалення або запалення внутрішньої порожнини зуба.
На першій стадії хвороби застосовуються наступні способи лікування:
- Ремінералізація. Існують спеціальні дитячі засоби, здатні уповільнити або зупинити розвиток карієсу. Вони зміцнюють емаль зуба, насичуючи її потрібними речовинами. Це безболісне щадне засіб для лікування зубів дитини. Використовувати його можна як в кабінеті стоматолога, так і вдома, проте консультація фахівця все ж необхідна.
Сріблення. Уражені невеликим карієсом зуби покривають розчином з вмістом срібла. Лікування не приносить малюкові дискомфорту, але зуби набувають темний колір до моменту їх зміни на постійні. Це поширена процедура, яку часто проводять у дитячій поліклініці. Зуби після сріблення представлені на фото.
При наявності значного ураження використовуються більш кардинальні методи:
- Встановлення пломби. Вона знадобиться, якщо каріозна порожнина досить велика. Зуб повністю очищають від карієсу і встановлюють пломбу. У цьому випадку без використання бормашини не обійтися. Може знадобитися знеболювання, тому дитина повинна бути морально готовий до відвідування лікаря. Малюків до 3 років занурюють у загальний наркоз, оскільки всидіти в кріслі під час неприємної процедури вони не здатні.
- Екстракція зуба. Видалення потрібно, коли ніякі інші засоби не можуть відновити пошкоджений зуб. Стоматологи категорично не рекомендують видаляти молочні зуби. Це призводить до порушення прикусу, мови і не захистить дитину від поширення карієсу, якщо патогенні бактерії вже присутні в його ротової порожнини.
Наслідки пляшкового карієсу
Поширена думка, що за молочними зубами не обов’язково доглядати так ретельно, як за постійними. Це невірно, адже ранній карієс призводить до серйозних наслідків.
Небезпека його полягає в тому, що руйнування відбувається дуже швидко. Поширюючись, карієс захоплює і сусідні зуби. Після повного ураження зуба починається пульпіт, запалення внутрішньої тканини. Він супроводжується сильними болями, підвищенням температури і іншими неприємними симптомами.
Не вилікувана вчасно карієс призводить до втрати молочного зуба, яка чинить негативний вплив на подальший розвиток малюка. У нього формується прикус порушений, зуби ростуть неправильно. Можлива деформація щелепи, що призводить до порушення мови і дихання.
Профілактика захворювання
Карієс – одне з тих захворювань, які легше попередити, ніж вилікувати. Особливо це стосується маленьких дітей, яким лікування у стоматолога дається вкрай важко. Батькам слід виконувати наступні правила профілактики пляшкового карієсу:
Дотримуватися гігієни зубів. Починати потрібно з першого зуба, неважливо, з’явився він в 4 місяці або в рік. Спочатку використовують спеціальні силіконові щіточки, вони продаються в аптеці, з року застосовують звичайні дитячі зубні щітки і пасти. Важливо, щоб дитина вмів спльовувати пасту після процедури.- Дитяче меню повинне бути повноцінним і різноманітним, містити необхідні вітаміни і мінерали. Дитині обов’язково дають тверді продукти, вони допомагають очищати поверхню зубів від залишків їжі (яблука, морква).
- Мінімум вуглеводів. Негативний вплив солодкої вуглеводної їжі на стан зубної емалі давно доведено. Не варто давати маленькій дитині цукерки, шоколад, всілякі солодощі, газовану воду. Мікроорганізми, що викликають карієс, швидко розвиваються в солодкій середовищі.
- Нічні перекуси. Після півроку не треба давати дитині пляшечку з сумішшю вночі. Якщо дитина захотів пити, йому пропонують воду.
- Своєчасне лікування карієсу. Карієс передається від одного члена сім’ї до іншого. Якщо захворювання є у батьків, не можна облизувати дитячу ложку, кусати одне яблуко або пити з дитячого поїльника. Зі слиною малюкові передадуться і патогенні бактерії.
- Планове відвідування стоматолога. Спеціаліста відвідують раз на рік, а якщо є необхідність, то і частіше. При виявленні підозрілих цяток на зубах білого або темного кольору слід якомога швидше звернутися до лікаря. Чим раніше розпочнеться лікування, тим ефективніше воно пройде.

Сріблення. Уражені невеликим карієсом зуби покривають розчином з вмістом срібла. Лікування не приносить малюкові дискомфорту, але зуби набувають темний колір до моменту їх зміни на постійні. Це поширена процедура, яку часто проводять у дитячій поліклініці. Зуби після сріблення представлені на фото.
Дотримуватися гігієни зубів. Починати потрібно з першого зуба, неважливо, з’явився він в 4 місяці або в рік. Спочатку використовують спеціальні силіконові щіточки, вони продаються в аптеці, з року застосовують звичайні дитячі зубні щітки і пасти. Важливо, щоб дитина вмів спльовувати пасту після процедури.