Зуби
Запалення залоз під язиком
Найчастіше пацієнти втрачають зуби у віці від 35 років і старше. Це пов’язано з різними віковими
Красива посмішка — це запорука приємного зовнішнього вигляду і комфортного перебування в громадському соціумі.
Неприємний запах з рота псує настрій не тільки його власнику, але і оточуючим. Причинами такого явища
Запалення слизової порожнини рота – неприємний симптом, при якому людину турбує дискомфорт і відчуття
На сьогоднішній день стоматологічні захворювання вважаються одними з найбільш поширених. Навіть невеликий
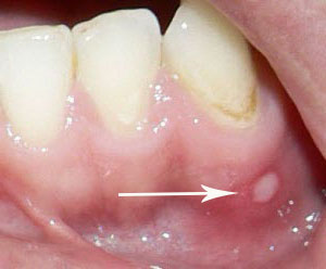
Поява виразок, білих точок, нальоту і неприємного запаху в роті може сигналізувати про наявність серйозних
Кандидоз – грибкове захворювання, що вражає слизові оболонки. Умовно-патогенні мікроорганізми грибкового
Мова – чутливий орган, що складається з безлічі рецепторів. Відтінки смаку складаються в неповторну гаму
Несвіжий запах з рота називається галітоз. Він розвивається через активності бактерій у ротовій порожнині.
Ротова порожнина – це «ворота» в людське тіло, що відображають стан всіх органів. Здорова слизова оболонка
