Здоров’я
Мова — індикатор здоров’я. Він відображає стан порожнини рота та органів травлення. Якщо батьки
Несвіже дихання, або халітоз – не тільки неприємне явище, але і симптом різних захворювань.
Гнильний запах – поширена скарга пацієнтів в стоматологічній практиці. Проблема поширена не тільки серед
Кровоточивість ясен у дітей – поширене явище в дитячому віці. Вона є свідченням виникнення запального
Перші зубки — завжди хвилююча подія, особливо для молодих батьків. Багато мам і тата з нетерпінням чекають
Температура при стоматиті — нормальна реакція організму на присутність патогенних мікроорганізмів.
Стоматит — це запалення слизової оболонки порожнини рота. У дітей виникає з певною періодичністю в силу
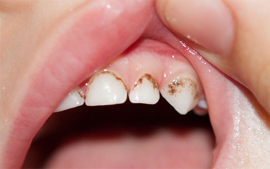
Поява кожного нового зубика у дитини — ціла подія для батьків. Білосніжні рівні зубки малюка — межа мрій
Слизова оболонка, якої вистелена внутрішня поверхня щік, має складну будову і здійснює кілька важливих
Період появи молочних зубів — час випробувань для малюка і його мами. Він досить тривалий, пов’
