Здоров’я
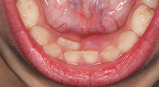
Другий ряд зубів у дітей називають «акулячі зуби». Вони страшні на перший погляд — батька. Другий погляд
Стоматологи закликають перевіряти здоров’я зубів з грудного віку. Ретельний догляд за порожниною
Поява зубів у дітей призводить до виникнення різного роду ускладнень в організмі. Особливе переживання
У дітей карієс поширене захворювання зубів. Батьки не завжди звертаються до фахівця для його лікування
Період, коли випадають молочні зуби є дуже хвилюючим і відповідальним моментом як для дитини, так і для
Зубні краплі – препарат для місцевого використання, здатний повністю або частково усунути больовий синдром
Часто люди і не здогадуються, що народилися з короткою вуздечкою язика і не пам’ятають ніяких операцій
Кожен батько турбується про здоров’я своєї дитини, стежить за його станом і настроєм.
Прорізування зубів – один з найбільш важких моментів, який не проходить непомітно не тільки дитини, але
Акрилові знімні зубні протези дуже широко поширені завдяки своїй бюджетної вартості і можливості протезування
Середньостатистичний чоловік може і не знати, що у нього в роті є зуби під назвою моляри. Набагато частіше
