
У дітей карієс поширене захворювання зубів. Батьки не завжди звертаються до фахівця для його лікування, сподіваючись на швидке випадання молочних зубів. Результатом подібної безпечності може стати пульпіт. У даній публікації буде розглянуто поняття назви хвороби, її ознаки і як зазвичай відбувається лікування пульпіту тимчасових зубів у дітей.
Зміст
Що таке пульпіт?
Зуб складне утворення, що складається з різних тканин. Під зовнішніми твердими тканинами розташовується пористе освіта – пульпа, народна назва зубний нерв. У ній розташовуються кровоносні судини, що забезпечують зуб харчуванням; нейрони і нервові судини для лімфи. Запалення пульпи носить назву пульпіт.
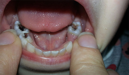
Найчастіше захворювання спостерігається у великих нижніх зубах, якими пережовується їжа. Вони називаються молочні моляри. Рідше пульпіт вражає передні зуби.
Причин виникнення пульпіту дві:
- поширення інфекції карієсу на міцну тканину зуба, яка називається дентин;
- пошкодження емалі зуба при травмах, стоматологічних операціях і зараження карієсом як у першому випадку.
Симптоми пульпіту

Хвороба підрозділяється на гостру форму і тривалу (хронічну). Гостра форма спостерігається не часто, має яскраво виражені симптоми і дві фази:
Хронічна форма проходить без симптомів у хворих карієсом і запломбованих зубах. Відчувається біль при попаданні їжі, охолоджених напоїв. Виникнення болю під час прийому гарячої їжі, відчуття внутрішнього тиску (ніби розпирає), неприємного запаху виникає при запущеної хвороби і відмирання тканин.
Захворювання дуже часто не супроводжується симптомами. Відвідування стоматолога не рідше одного разу на півроку і своєчасне лікування карієсу є гарантією відсутності пульпіту молочних зубів у дітей.
Чи обов’язково проводити лікування пульпіту молочних зубів у дітей
Лікування пульпіту молочних зубів у дітей потрібно робити негайно. Прийом знеболюючих препаратів і згаяний час лише поглиблює хворобу і ускладнює її лікування. Інфекція може перейти на тканину, що оточує корінь зуба і викликати періодонтит. Може статися запалення окістя – тканини, що вкриває щелепу. Розвиток хвороби може викликати попадання інфекції в кров’яне русло, що викликає виникнення набряків, і навіть викликати летальний результат.
Лікування пульпіту молочних зубів у дітей
У разі важкої форми захворювання, що загрожує здоров’ю і життю дитини, проводять видалення зуба. У більшості випадків зуб зберігають для виключення порушення прикусу. Лікування проводять вітальним і девитальным способом.
При вітальному способі процедуру проводять за один прийом. Зуб очищається. Проводиться процедура по знеболювання. За допомогою спеціальних інструментів проводять чищення каналів зуба. В канали закладається засіб, що містить кальцій. Зуб закривається тимчасовою пломбою. При відсутності ускладнень, з часом, встановлюється постійна пломба.
У другому випадку після чищення каналів здійснюється закладка пасти на основі миш’яку або параформальдегіду, проводиться тимчасове пломбування. Паста з миш’яком видаляється через добу або двоє (залежить від кількості коренів). Параформальдегидная паста – через сім днів. Пропускати другий прийом не рекомендується для виключення ускладнень. Після видалення пасти в зуб закладається лікувальний препарат і встановлюється тимчасова пломба. При відсутності ускладнень зуб очищається від лікувального препарату і пломбується постійною пломбою.
Принципи зцілення пульпіту зуба, не завершив розвиток
При захворюванні пульпітом зуба з не закінчили формування корінням виникають труднощі, викликані наступними обставинами:
- коріння малі по довжині, але мають широкі канали;
- корінь ще росте, і пошкодження, можливо, вплине на його формування;
- ризик інфікування зародка постійного зуба;
- можливість пошкодження емалі зуба;
- ускладнюються вилучення пульпи та обробка всіх каналів.
У такому випадку найбільш прийнятне рішення, прийняте лікарем, видалення зуба.
Підготовка до лікування зубів
Для виключення психологічних травм дитини перше відвідування лікаря повинно бути у вигляді знайомства. Малюк повинен звикнути до обстановки, лікаря, процедурам і сприймати їх без стресу. Попередньо слід пояснити дитині необхідність лікування зубів, періодичності процедури відвідування лікаря, можливих несильних болів, які швидко пройдуть. Провести рольову домашню гру у стоматолога. Відвідування лікаря запланувати на ранок, взяти з собою улюблену іграшку дитини. Забезпечити можливість спілкування лікаря з дитиною, набуття ними взаємного контакту, не примушувати дитину до процедури. При поганому настрої дитини і небажання спілкуватися з лікарем, краще перенести процедури на наступне відвідування.
Методи зняття зубного болю будинку
При виникненні болю, а також відсутності можливості відвідування лікаря можна виконати наступні процедури: полоскання, компреси, нанесення лікарських засобів поряд з зубом.
Полоскання проводять відварами рослин:
- шавлії;
- кори верби;
- лаврового листа;
- споришу;
- квіток бузини;
- шкірки граната;
- аїру.
Для полоскання готується відвар: 2 с. л. висушеного сировини, заливають склянкою окропу. Після охолодження відвару процедура проводиться через 1,5 години. Полоскання можна проводити за допомогою розчину прополісу, соди, перекису водню. Основним критерієм застосування будь-якого методу є індивідуальна переносимість засобу організмом.
В якості примочок використовують:
- Шматочок сала укладається на зуб і тримається до припинення хворобливих відчуттів.
- Смола ялини, сосни, ялиці або іншого хвойного дерева є знезаражувальним речовина, здатним припинити запальний процес. Прикладається поряд з хворим зубом і тримається до розсмоктування.
- Імбир підвищує кровообіг і усуває запальний процес. 20 грамів імбиру заварюється окропом, додається 1 ч. л. харчової соди і роблять примочки на больову область.
- Часник знезаражує і знімає біль. Сік втирається в десну кілька разів в день. Другим способом є прикладання розрізаною часточки часнику на зап’ясті протилежне хворому зуба (зуб болить праворуч, прикладати на ліве зап’ястя і навпаки). Для виключення опіку часточка прикладається на серветку з марлі.
При медикаментозному лікуванні застосовують знеболюючі засоби у вигляді нестероїдних протизапальних препаратів, мають низьку токсичність. Такі таблетки можна приймати не більше трьох штук протягом доби. Знеболюючі препарати зовнішнього застосування (гелі, мазі) накладаються на шкіру в місці болю.
Пульпіт молочного зуба у дитини – захворювання, викликане відсутністю лікування карієсу. Періодичне відвідування стоматолога гарантує своєчасне діагностування хвороби та швидке її лікування.
