Здоров’я
Захисні функції організму новонародженого малюка ще не сформовані в повній мірі, і він реагує на будь-які
Незважаючи на те, що заміна тимчасового зубного ряду доставляє дитині набагато менше неприємних відчуттів
Запор після введення прикорму зустрічається досить часто. Це явище пов’язують з поступовою адаптацією
Вітряну віспу часто хворіють в дитячому віці, рідше недуга вражає підлітків і дорослих. Серед класичних
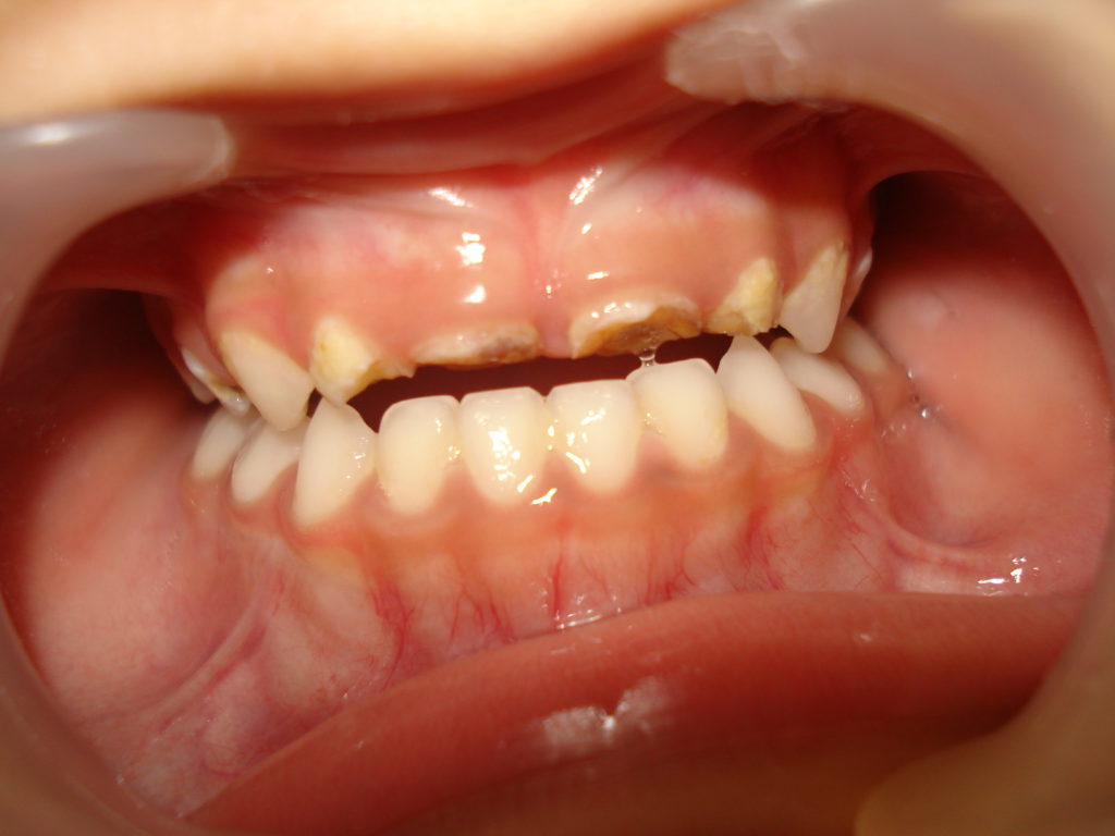
Багато батьків вважають, що чистити молочні зуби потрібно з 2 або 3 років. Таке твердження в корені невірно
При оцінці стану здоров’я малюка лікар призначає загальний аналіз сечі. Дослідження дає фахівцеві
Сучасні люди все частіше стикаються з алергічними реакціями на різного роду подразники. Алергія нерідко
Шкіра новонароджених і грудних дітей надзвичайно ніжна. Вона схильна до подразнень, почервоніння та висипи
Хворобливі виразки в роті, наліт на слизових, частий плач, капризи, порушений сон і відмова від їжі –
Ймовірність, що дитина може ковтнути мініатюрну батарейку, у сучасному світі дуже велика. Діти все тягнуть
Посмішка маляти – щастя кожного люблячого батька. Коли дитина починає усміхатися, миттєво забуваються
