Здоров’я
Головні болі при пухлини мозку є одним з основних симптомів хвороби. Не завжди пацієнти звертають на
Рак головного мозку небезпечний тим, що може розвиватися досить швидко і протікати на перших стадіях
Пухлина головного мозку у дитини відрізняється поруч особливостей. Вона може протікати більш агресивно
Деякі люди після проходження МРТ з тієї чи іншої причини можуть додатково почути діагноз «кіста прозорої
Кіста головного мозку у новонародженого не рідкість. Дані освіти діагностуються у кожного третього немовляти.
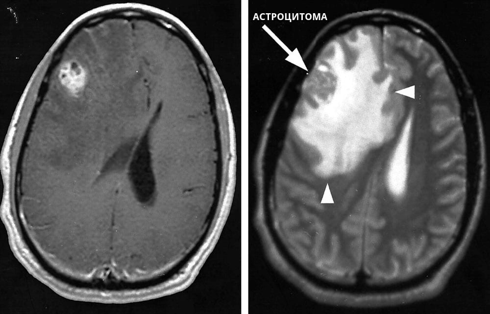
Астроцитома головного мозку – одна з найбільш небезпечних пухлин, адже на неї припадає більша частина
Лобова менінгіома – досить поширений вид пухлини, який складається з клітин арахноідальною оболонки мозку.
Поява онкології мозкових тканин невіддільне від процесу атипового і безконтрольного розподілу мутованих клітин.
Рак лімфовузлів у паху, інакше лимофма – серйозне онкологічне захворювання, при якому уражаються клітини
Рак лімфовузлів на шиї можна запідозрити на початкових стадіях захворювання. Первісна симптоматика –
Лімфома Беркітта, або інакше неходжкінська лімфома, володіє високим ступенем злоякісності. Має поширення
