
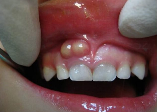
Запальний процес, який відбувається в окісті, називається периоститом. У народі це захворювання носить назву флюс. Тому важливо не тільки знати, чим небезпечний флюс зуба, але і усвідомлювати, що відкладати візит до стоматолога не варто. Періостит небезпечний подальшими серйозними ускладненнями.
Зміст
Симптоматика та форми захворювання
Біль є першою ознакою розвитку запального процесу в порожнині рота. Уражену ділянку починає сильно хворіти, доставляючи людині дискомфорт і страждання, особливо під час прийому їжі. Далі запалену ділянку набрякає. В даному випадку доцільно відвідати стоматолога.
Адекватне лікування допоможе впоратися з недугою, а ось бездіяльність погіршить ситуацію. Не долеченный періостит тягне за собою масу проблем і ускладнень. Запальний процес поступово може перейти на сусідні тканини і зуби.
Спочатку пацієнт відчуває біль періодично, але при сильній набряклості біль починає переслідувати постійно. Все із-за переходу запалення на сусідні зуби і тканини. Людині в цьому випадку складно точно вказати на хворе місце. Біль відчувається по всій щелепи, у вухах, на потилиці і навіть очниці.
Існує дві форми флюсу: хронічна і гостра. Вони відрізняються один від одного.
Чим небезпечний флюс зуба: абсцес, флегмона, сепсис
Якщо не почати вчасно лікування флюсу, це може призвести до дуже серйозних ускладнень, як абсцес, флегмона або сепсис.
Абсцес зуба

Абсцесом називається гнійне скупчення, які локалізуються в одному місці. Виникає гостра біль на ураженій ділянці. Больові відчуття значно посилюються при легкому натисканні на хвору область. Потім м’які тканини ущільнюються і набрякають.
Прогресуючий абсцес впливає на загальний стан людини, підвищується температура, виникає безсоння і порушується апетит.
Поступово гнійник проривається, скупчення виходять назовні. Біль при цьому стихає, зменшується набряклість, поліпшується самопочуття. Але це оманлива картина зцілення. Інфекція продовжує прогресувати в організмі. Абсцес стає хронічним. Пацієнта мучить неприємний запах з порожнини рота, організм страждає від інтоксикації.
Початкова стадія абсцесу не так страшна, досить вчасно звернутися до стоматолога, який призначить консервативне лікування. При запущеній формі захворювання потрібно провести хірургічне втручання, а саме розтин гнійника, інакше збільшується ризик виникнення розлитого запального процесу. Тут уже мова йтиме про захворювання під назвою флегмона.
Флегмона

Запалення клітковини зі скупченням гною називається флегмоною. Це захворювання зачіпає щелепно-лицьову зону. Поверхнева форма хвороби характеризується ураженням підшкірної клітковини, а глибока флегмона – міжм’язової.
Стафілокок, стрептокок, анаеробні організми, спірохета зубна – бактерії, що викликають запалення клітковини. Інфекції проникають глибоко в м’які тканини, погіршується відтік лімфи, виникає алергічна реактивність організму.
Запальний процес може швидко поширюватися і прогресувати. Пацієнта мучать постійні болі. Спочатку больові відчуття носять слабкий характер, але з розвитком хвороби все більше наростають.Кожен прийом їжі перетворюється в катування, щелепа стає менш рухомий, ковтання ускладнюється, страждають дихання і мова. Особа приймає набрякле стан із-за запалення, що відбувається в порожнині рота.
Людина може відчувати слабкість, запаморочення. У деяких випадках спостерігається почастішання пульсу і дихання, підвищене потовиділення і висока температура. Все це свідчить про інтоксикацію організму.
Сепсис
Сепсис — це дуже небезпечне ускладнення флюсу. Гній починає поширюватися по всьому організму разом з кровотоком. Може бути порушена робота життєво важливих органів і систем організму, що може привести до летального результату.
Висновок
Будь-який запальний процес швидко розвивається. Тому звичайний флюс може викликати серйозні ускладнення, а значить, необхідна професійна допомога. Знеболюючі препарати лише на час заглушають біль, але не позбавляють від недуги. В даному випадку самолікування не доречно. Кращим рішенням стане своєчасне звернення до стоматолога.
