
Далеко не кожна людина відвідує кабінет дантиста з належною регулярністю для проведення профілактичного огляду, тому не встигає вчасно виправити невеликі естетичні дефекти, видалити каріозні освіти. Найчастіше до стоматолога приходять, коли гострий зубний біль вже просто заважає спокійно жити. Крім того, ніхто не застрахований від випадкових пошкоджень у вигляді сколів і тріщин. Допомогти в такому випадку здатна композитна реставрація зубів.
Зміст
Що означає композитна реставрація зубів
Композитна реставрація зубів — це відновлення цілісності зуба спеціальним пломбувальним матеріалом, що містить фотополімери. Методика комбінованого лікування повністю безболісна для пацієнта, тому її популярність зростає з кожним днем. Пломби полімерного типу практично непомітні в роті, оскільки відповідають за формою й кольором всього зубного ряду.
Процес реставрації композитами не вимагає багаторазових відвідин дантиста, іноді одного сеансу буває достатньо, щоб встановити пломбу. Техніку лікування відносять до естетичної (художньої) стоматології, що дозволяє відновити до 6 зубів одночасно, тим самим, повернути людині гарну посмішку.
Показання для проведення композитної реставрації
Використовуючи композити і фотополімери, дантист може вирішити відразу кілька стоматологічних проблем. Показаннями для проведення процедури можна вважати:
Композитний пломбувальний складу гіпоалергенний, тому підходить більшості пацієнтів. Протипоказанням до лікування можна вважати тільки підвищену чутливість порожнини рота, алергію на знеболюючі засоби або індивідуальну непереносимість окремих компонентів лікувального складу.
Технологія проведення композитної реставрації зубів
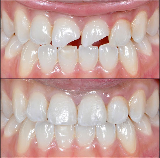
До і після композитної реставрації
Перед початком лікування зубного ряду композитними матеріалами, кожен пацієнт обов’язково отримує консультацію стоматолога. Дантист оцінить загальний стан ротової порожнини, виявить можливі протипоказання, визначить ступінь ураження зубів. Незайвим перед реставрацією буде проведення професійного чищення порожнини рота з застосуванням ультразвуку. Таким чином, фахівець очистить всі зуби від каменю і твердого нальоту, що дозволить розглянути найдрібніші каріозні освіти на стадії білих плям, відновити відразу всі дефекти, не розтягуючи кількість сеансів. Залежно від показання до застосування, лікар запропонує пацієнтові пряму або непряму композитну реставрацію зуба.
Непрямий метод
Методика полягає в лабораторному виготовлення вінірів — тонких композитних пластин, що заміщають верхній шар пошкоджених зубів. Накладки повністю перекривають фронтальну частину, використовуються, коли емаль втратила свою білизну або є деякі нерівності зубів. Іншими показаннями для непрямого методу захисту вважаються:
- неправильний прикус;
- повне або часткове відсутність жувальних зубів;
- дрібні ушкодження у вигляді сколів і подряпин на емалі.
Лікування проводиться в кілька етапів. При необхідності, перед процедурою лікар виконує лікування зубів (чистка каналів, пломбування). Далі робиться зліпок вініра, який буде виготовлений в спеціальній лабораторії, і встановлений на зуб на наступному етапі реставрації.
Метод непрямої композитної реставрації кілька схожий з протезуванням, тим не менш, дозволяє не просто відновити дрібний дефект, але і врятувати весь зуб, не вдаючись до імплантації імплантатів.
Прямий метод композитної реставрації
Композитна реставрація зуба проводиться безпосередньо в ротовій порожнині з застосуванням фотополімерів і склоцементу. Якщо немає протипоказання для прямої реставрації, лікар відразу ж приступить до підбору анестетика і розрахунку дозування знеболюючого засобу. Найчастіше, місцевого знеболювання буде достатньо, а якщо людина панічно боїться стоматологічних маніпуляцій, йому запропонують анестезуючий сон — загальний наркоз.
З допомогою бормашини стоматолог робить борозенки на зубі у відповідності з розміром і площею вініра, щоб відшліфувати емаль до потрібної глибини. Далі поверхню знезаражується і знежирюється, щоб уникнути будь-яких ускладнень. Композитний матеріал наносить на підготовлену ділянку поетапно в декілька шарів. Кожен шар сушать спеціальною лампою, що забезпечує рівномірний застигання. Як правило, 2-3 хвилин буде достатньо для повного застигання композиту в потрібній формі. У загальній складності, пряма реставрація зубів композитними матеріалами займає від 20 хвилин до 2 годин.
Догляд за зубами відреставрованими
Після процедури композитної реставрації зубів пацієнту доведеться дотримуватися деяких правил догляду за ротовою порожниною:
Крім того, дантисти рекомендують відмовитися від яскравих напоїв (кава, соки, вино тощо), адже композит вбирає фарбу. Нехтуючи порадами фахівців, пацієнт ризикує втратити первозданний вигляд зубів, відновлених із застосуванням композитних матеріалів.
