Головний біль
Потовиділення — природний процес для організму людини. Однак існує захворювання, при якому піт виділяється
Люди можуть відчувати болючі відчуття в голові різного характеру. Якщо нездужання викликано надмірною
Кожен з нас стикався з нападами головного болю. Вони можуть бути короткочасними або, навпаки, дуже тривалими.
Якщо у вас раптом раптово з’явився свист у вухах і голові, причини та лікування – найбільш важливі
Із запамороченням (вертиго) стикався практично кожна людина. Багато хто не надають цьому значення, так
Скарги на запаморочення, як правило, — симптом якого-небудь захворювання і не є самостійною патологією.
Виявлена в голове у новонародженого псевдокиста не обов’язково впливає на роботу мозку, що призводить
При виявленні у нещодавно народжених малюків онкологічного захворювання існує ймовірність у п’
Кісту в голові знаходять в середньому у кожного третього немовляти. Вона являє собою новоутворення в
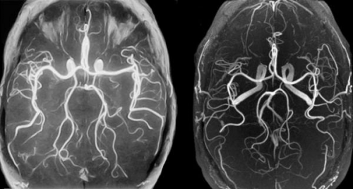
У магнітно-резонансної ангіографії довга історія. Відкриття в 1895 році Рентгеном нового виду випромінювання
Дуже часто в людей болить голова. При перших ознаках недуги важливо звернутися до лікаря за консультацією.
